 
    
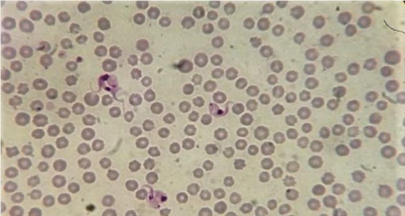
Trámite orientado al diagnóstico de Hemoparásitos mediante tinción de Giemsa, con el objetivo de detectar oportunamente parásitos sanguíneos que afectan a los animales. Esta acción permite implementar medidas eficaces de prevención, control y erradicación de enfermedades hemoparasitarias, contribuyendo al fortalecimiento del estatus zoosanitario nacional.
Los beneficiarios del trámite son:
Persona Jurídica - Privada : Legalmente constituidas.
Persona Natural - Ecuatoriana : Ciudadanos ecuatorianos mayores de 18 años.
Este trámite no aplica para instituciones públicas
Dirigido a: Persona Jurídica - Privada, Persona Natural - Ecuatoriana.
Informe de Diagnóstico de Hemoparásitos Giemsa
En línea:
1. Cotización
2. Orden de Trabajo
Presencial:
Una vez registrada la Orden de Trabajo y aprobado el pago en el sistema LIMS, proceder con:
Canales de atención: En línea (Sitio / Portal Web / Aplicación web), Presencial.
5,78 USD incluye IVA
Contacto: Rovalino Córdova María Elena - Dirección de Diagnóstico Animal
Email: maria.rovalino@agrocalidad.gob.ec
Teléfono: (+593) 23828860, ext 2065
Regula el desarrollo de actividades, servicios y la aplicación de medidas fito y zoosanitarias, con base a los principios técnico-científicos para la protección y mejoramiento de la sanidad animal y vegetal, así como para el incremento de la producción, la productividad y garantía de los derechos a la salud y a la vida; y el aseguramiento de la calidad de los productos agropecuarios.
| # | Año-Mes | Volumen de Quejas | Volumen de Atenciones | 
|---|---|---|---|
| 1 | 2025-01 | 0 | 39 | 
| 2 | 2025-02 | 0 | 178 | 
| 3 | 2025-03 | 0 | 100 | 
| 4 | 2025-04 | 0 | 146 | 
| 5 | 2025-05 | 0 | 129 | 
| 6 | 2025-06 | 0 | 115 | 
| 7 | 2025-07 | 0 | 57 | 
| 8 | 2025-08 | 0 | 102 | 
| 9 | 2025-09 | 0 | 105 | 
| 10 | 2024-01 | 0 | 45 | 
| 11 | 2024-02 | 0 | 51 | 
| 12 | 2024-03 | 0 | 59 | 
| 13 | 2024-04 | 0 | 68 | 
| 14 | 2024-05 | 0 | 192 | 
| 15 | 2024-06 | 0 | 89 | 
| 16 | 2024-07 | 0 | 134 | 
| 17 | 2024-08 | 0 | 70 | 
| 18 | 2024-09 | 0 | 91 | 
| 19 | 2024-10 | 0 | 63 | 
| 20 | 2024-11 | 0 | 65 | 
| 21 | 2024-12 | 0 | 0 | 
| 22 | 2023-01 | 0 | 89 | 
| 23 | 2023-02 | 0 | 17 | 
| 24 | 2023-03 | 0 | 54 | 
| 25 | 2023-04 | 0 | 92 | 
| 26 | 2023-05 | 0 | 99 | 
| 27 | 2023-06 | 0 | 86 | 
| 28 | 2023-07 | 0 | 143 | 
| 29 | 2023-08 | 0 | 149 | 
| 30 | 2023-09 | 0 | 120 | 
| 31 | 2023-10 | 0 | 88 | 
| 32 | 2023-11 | 0 | 189 | 
| 33 | 2023-12 | 0 | 939 | 
| 34 | 2022-01 | 0 | 0 | 
| 35 | 2022-02 | 0 | 8 | 
| 36 | 2022-03 | 0 | 202 | 
| 37 | 2022-04 | 0 | 8 | 
| 38 | 2022-05 | 0 | 43 | 
| 39 | 2022-06 | 0 | 114 | 
| 40 | 2022-07 | 0 | 77 | 
| 41 | 2022-08 | 0 | 0 | 
| 42 | 2022-09 | 0 | 110 | 
| 43 | 2022-10 | 0 | 0 | 
| 44 | 2022-11 | 0 | 97 | 
| 45 | 2022-12 | 0 | 31 | 
| 46 | 2021-01 | 0 | 18 | 
| 47 | 2021-02 | 0 | 26 | 
| 48 | 2021-03 | 0 | 24 | 
| 49 | 2021-04 | 0 | 45 | 
| 50 | 2021-05 | 0 | 18 | 
| 51 | 2021-06 | 0 | 127 | 
| 52 | 2021-07 | 0 | 387 | 
| 53 | 2021-08 | 0 | 13 | 
| 54 | 2021-09 | 0 | 120 | 
| 55 | 2021-10 | 0 | 154 | 
| 56 | 2021-11 | 0 | 64 | 
| 57 | 2021-12 | 0 | 0 | 
| 58 | 2020-01 | 0 | 35 | 
| 59 | 2020-02 | 0 | 17 | 
| 60 | 2020-03 | 0 | 0 | 
| 61 | 2020-04 | 0 | 0 | 
| 62 | 2020-05 | 0 | 0 | 
| 63 | 2020-06 | 0 | 36 | 
| 64 | 2020-07 | 0 | 1 | 
| 65 | 2020-08 | 0 | 24 | 
| 66 | 2020-09 | 0 | 27 | 
| 67 | 2020-10 | 0 | 19 | 
| 68 | 2020-11 | 0 | 15 | 
| 69 | 2020-12 | 0 | 10 | 
| 70 | 2019-01 | 0 | 35 | 
| 71 | 2019-02 | 0 | 120 | 
| 72 | 2019-03 | 0 | 36 | 
| 73 | 2019-04 | 0 | 27 | 
| 74 | 2019-05 | 0 | 46 | 
| 75 | 2019-06 | 0 | 47 | 
| 76 | 2019-07 | 0 | 11 | 
| 77 | 2019-08 | 0 | 20 | 
| 78 | 2019-09 | 0 | 21 | 
| 79 | 2019-10 | 0 | 62 | 
| 80 | 2019-11 | 0 | 21 | 
| 81 | 2019-12 | 0 | 15 | 
| 82 | 2018-08 | 0 | 195 | 
| 83 | 2017-12 | 0 | 892 | 
Fecha de última actualización: 2025/08/05